微信掃描二維碼,點擊右上角 ··· 按鈕
轉發給朋友或分享到朋友圈
顯微成像·洞察微觀之美
Microscopic imaging, insight into the beauty of micro
癌癥研究用什么顯微鏡
發布時間:2025-10-10
訪問量:45
一、癌癥與癌細胞
癌癥通常是由于細胞基因發生錯誤或不正確的表達,使細胞分化和增殖異常,生長失去控制,并可侵襲身體的臨近部位和擴散到其它器官。
癌細胞與正常細胞相比,有以下幾點不同:
? 無限增殖,失去生長控制的調控,相比于正常細胞分裂次數的限制,癌細胞可無限增殖
? 組織浸潤與轉移,主要是具備了上皮間質轉化的能力,所以能夠通過循環系統到達遠處的實質組織,除此之外也可以直接向周圍的實質組織浸潤
? 形態大小變化,正常細胞大小相對一致,而癌細胞內的細胞核體積多樣,會出現巨核,雙核,多核或異形核形態,細胞漿的質和量也跟正常細胞有一定差別
? 免疫逃避,癌細胞通過多種機制逃避免疫系統的監視和清除,主要的是癌細胞表面具有與免疫細胞結合的表達免疫檢查點分子,從而避免免疫細胞發揮作用
? 誘導血管生成,細胞長時間存活需要持續提供營養和氧氣,這些也是腫瘤細胞需要的物質。癌細胞可以誘導血管生成獲得必要營養。在癌癥的發展期間,血管還會隨著腫瘤的生長不斷生存,保持著比較完善的血管系統,因此在發現癌癥的時候,就只有進行切除,才能夠將腫瘤全部解決。
二、顯微成像技術在癌癥研究中的應用
依據癌細胞在分子表達層面和細胞組織層面的變化,運用各類顯微成像技術對癌細胞進行篩選與識別,以下是在癌癥研究中常見的幾類顯微成像技術應用:
(1)病理切片
通過手術切除或穿刺活檢得到腫瘤組織來進行分子分型是臨床上判斷癌癥的金標準。病理切片如何確認是否有癌細胞的關鍵要在于顯微鏡下的觀察,通常是在顯微鏡下對病理切片進行染色以后觀察其中的細胞的形態是否滿足癌細胞的特征。
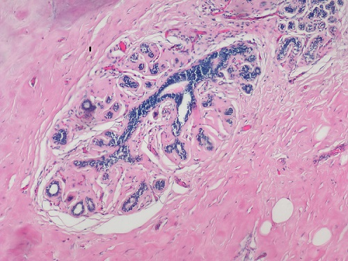
常用的染色方法是蘇木素-伊紅(Hematoxylin-Eosin)染色法,簡稱H.E染色法。這種方法對任何固定液固定的組織和應用各種包埋法的切片均可使用。蘇木素是一種堿性染料,可使組織中的嗜堿性物質染成藍色,如細胞核中的染色質等;伊紅是一種酸性染料,可使組織中的嗜酸性物質染成紅色,如多數細胞的胞質、核仁等在H.E染色的切片中均呈紅色。
(明美生物顯微鏡搭配msx2拍攝HE染色的乳腺癌病理切片,紅色為胞質,藍色為染色體)
(2)免疫組化(IHC)
免疫組化,通俗的含義就是把癌組織中的癌細胞放大到分子級別,通過顯微鏡看看在這個水平上有哪些跟別的細胞不一樣的特征,因為蛋白質在體內出現的位置不一樣,有的蛋白遍布全身,有的蛋白只出現在某些特定的器官與組織中,通過直接直觀地觀察組織和細胞里是否存在一些蛋白質的方法,來確定腫瘤的分子分型,判斷腫瘤的原發位置,腫瘤惡性程度及預后效果。

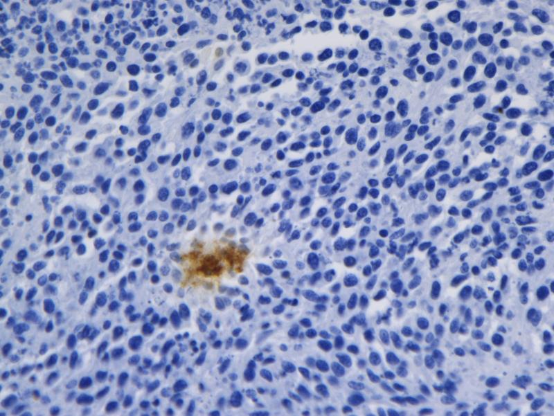
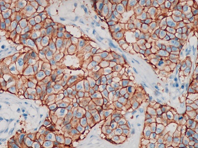
(ML51+MSX2拍攝的免疫組化病理組織)
(IHC-HER2檢測,癌細胞形態變化,伴隨血管生成)
(3)原位熒光雜交(FISH)
熒光原位雜交技術是一種使用熒光素標記探針,以檢測探針和分裂中期的染色體或分裂間期的染色質的雜交。其基本原理是:以核酸堿基互補配對原則為基礎所發展起來的檢測技術,主要利用DNA序列的互補性,通過熒光標記的DNA探針與預處理的待測樣本的DNA進行原位雜交,在熒光顯微鏡下, 對熒光信號進行辨別和計數,即可對細胞、組織樣本中的染色體或基因異常進行檢測和診斷。
不同種類癌細胞具有特異性的基因片段,使用FISH技術進行特異性標記,通過特異性熒光信號的表達特征,來判斷是否有癌細胞或癌細胞種類。臨床應用中,在乳腺癌、宮頸癌、膀胱癌、血液腫瘤等診斷和指導用藥方面,FISH有很強的優勢。

(MF43-N+MC50-S搭配四波段光源拍攝的FISH圖像)
(4)循環腫瘤檢測(CTC)
癌細胞具有組織浸潤和轉移的特征,可以脫離原發病灶進入循環系統。循環腫瘤細胞就是指從實體瘤中脫離出來并進入外周血液循環的腫瘤細胞。通過對血液中CTC的數量以及蛋白表達、基因序列的檢測等,可以獲得腫瘤的相關病變的信息,可以彌補腫瘤組織難以獲得的局限性,而且CTC可以重復進行取樣,具有實時監測的功能。
(MF43-N拍攝的CTC檢測圖)
(5)腫瘤細胞培養研究
腫瘤細胞培養是研究癌變機理、腫瘤細胞及其特征分子生物學特征、抗癌藥物敏感性的重要手段。癌細胞是目前所建立的細胞系中占比第一多的,該應用對腫瘤研究具有很多優點:①便于從細胞水平上對腫瘤細胞結構功能進行研究,同時也可從基因及分子水平上對癌變機理進行探究;②可長期傳代,便于對腫瘤細胞生物學特征和遺傳行為進行觀察研究;③可用于快速篩選抗癌藥物及耐藥機理研究。

(腫瘤細胞培養-劃痕實驗)
三、顯微成像在癌癥研究應用中的難點
(1)多色熒光顯微成像中各熒光團信號的獲得
癌細胞通常具有一個或多個特異性的標記物,對應的需要使用多種熒光染料或熒光探針,如何在一張圖像中獲得多通道的熒光信號具有一定的挑戰性。挑戰主要來自以下幾個方面:①激發光源,多通道熒光成像要求激發光源有比較寬的光譜,在熒光染料或熒光探針的激發光譜有比較好的峰值特征;②濾光片,針對不同熒光染料選擇合適的濾光片,保證熒光信號的通過,避免其他雜光的干擾;③成像質量,熒光信號通常比較微弱,選用高靈敏度的相機,有利于捕獲微弱的熒光信號;④熒光圖像處理,針對多通道熒光圖像疊加的處理方式,需要保證疊加圖像的穩定性和清晰度。
(2)病理切片的判讀與掃描
臨床上,通過病理切片對癌細胞進行分子分型是癌癥診斷的金標準。典型的病理觀察是通過移動載物臺在高倍物鏡下找到局部病變組織并進行判斷和分型,這一方法有幾點限制:①高倍鏡成像區域較小,對整個切片組織中的異常細胞進行定位需要多次移動載物臺,耗時耗力,對操作人員要求較高;②無法在一張圖上對整個切片組織進行成像,無法滿足對判斷病理組織整體形態特征的需求。對此的解決方案一般是采用切片掃描系統,通過電動化的掃描平臺和拼接分析軟件,獲得高分辨率全局圖,方便對切片組織整體形態進行病理分析,同時可以方便定位局部病理組織并進行放大觀察。
四、明美解決方案

(1)全能型:切片掃描系統+常規明場熒光成像二合一
推薦:明美數字切片掃描系統+MF43-N+MSX2/MS60
? 同時兼顧少量切片掃描需求與常規明場熒光觀察功能
? 明美切片掃描系統可單獨搭配部分四大品牌
? 可應用于常規病理切片掃描觀測、CTC、FISH、IHC檢測等

(2)FISH、CTC、IHC檢測
推薦:MF43-N/MF53-N+MC50-S/MS23+FISH軟件
? 配備熒光模塊,依據研究觀測需要,可搭配B\G\U\Y\R等熒光通道
? 高靈敏度相機,微弱熒光信號也能清晰成像
? FISH軟件,智能優化熒光圖像,一鍵合成多色熒光圖像

(3)常規明場切片觀察
推薦:ML31/ML41/ML51+MS60/MSX2
? 高品質物鏡,高分辨率成像,細節把握更清晰
? 高穩定性載物臺,長時間使用更輕松
? 高分辨率相機,圖像真實色彩高還原

(4)癌細胞培養研究觀測
推薦:活細胞成像儀+平板/手機
? 小巧輕便,放置在超凈工作臺上不占空間
? 無線連接手機或平板電腦,避免接觸造成污染
? 可集約化配備明場、相差和單色或多色熒光功能,應對不同細胞觀測要求

(5)四大品牌熒光顯微鏡升級
推薦:正置6孔熒光轉盤/原配熒光臂 + MG100/MG120 + MS23/MC50-S + MFISH軟件
? 明美提供多種不同規格濾光片組,適配四大品牌主流熒光模塊
? MG-100/MG-120新型LED熒光光源有穩定的激發效果,即開即用壽命長
? 高靈敏度相機MS23/MC50-S,搭配MFISH軟件滿足高質量FISH成像需要
? 升級成本性價比高,熒光效果好
微信掃描二維碼,點擊右上角 ··· 按鈕
轉發給朋友或分享到朋友圈