微信掃描二維碼,點擊右上角 ··· 按鈕
轉發給朋友或分享到朋友圈
顯微成像·洞察微觀之美
Microscopic imaging, insight into the beauty of micro
光學顯微鏡可以觀察到神經細胞嗎?熒光顯微鏡可以
發布時間:2025-10-10
訪問量:88
光學顯微鏡可以觀察到神經細胞嗎?答案是可以,而且還是主流方案,因為光學顯微鏡才適合做活細胞動態觀察,尤其基于光學顯微鏡的熒光觀察,還是神經元研究的主流配置,高端的配置甚至可以直接看到神經元信號活動,比如味覺也是一種神經元信號,都是科技與狠活。

圖1:神經元結構圖
神經元又稱神經細胞,是神經系統的基本結構和功能單位。
神經元結構分為細胞體和突起兩部分:細胞體是信息整合和處理中心,由細胞核、細胞膜、細胞質組成,包含尼氏體等特有結構;突起是信號傳輸末梢,分為樹突和軸突,樹突起始粗分支細,負責傳入,可能有多個,軸突相對細且均一,負責傳出,只有一個。

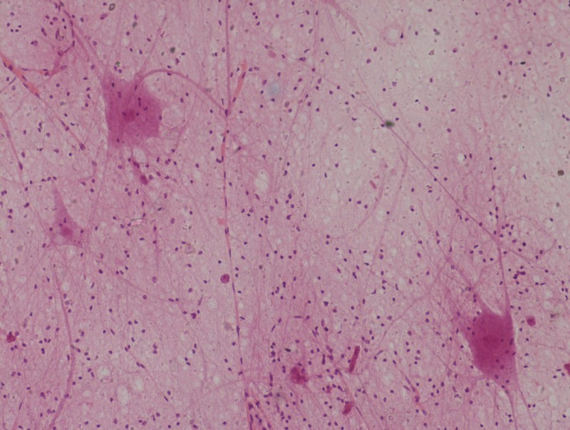
圖2:明場下的染色神經元
和其他各種細胞一樣,神經元幾乎是透明的,不能直接用明場觀察,為了滿足科教等應用,可以用姬姆薩染色法等方式將神經元處理成染色樣品,以便生物顯微鏡進行明場觀察。
但這些處理會影響細胞活性,不適合動態觀察。

圖3:相襯觀察的神經元
相襯觀察是觀察神經元生長和遷移的常用方案,因為這種觀察方式不需要染色,對細胞活性非常友好,適合長時間成像,比如通過時延拍攝或長時間視頻,記錄神經元的生長和遷移。

圖4:倒置顯微鏡適合相襯觀察
倒置顯微鏡通常配備相襯環和相襯物鏡,可以進行相襯觀察,同時對培養皿有更好的支持,因此是神經元觀察的常用方案。

圖5:熒光觀察下的神經元
倒置熒光顯微鏡是神經元相關研究的常用設備,利用活細胞示蹤劑等特異性熒光染色,不僅可以標記出肌動蛋白絲等亞細胞結構,還能對細胞運動、遷移等進行監測。

圖6:電生理研究用倒置熒光顯微鏡
使用倒置熒光顯微鏡的另一個好處是,樣本上方有較大的操作空間,可以加上膜片鉗等設備,以進行電生理研究。

圖7:熒光觀察下的神經元
熒光觀察下,高亮的特異性熒光和黑色的背景有很高的對比度,是神經元相關論文研究的理想配圖。常見的研究對象包括小鼠、果蠅和斑馬魚等。

圖8:神經元熒光成像
染料選擇方面,U通道的染料通常有細胞毒性,而且紫外線激發也有光毒性,因此神經元相關研究一般用B通道和G通道等細胞毒性和光毒性更低的方案,兩個通道合成后,熒光重疊的部分會呈現出黃色熒光。

圖9:斑馬魚神經元信號①
如果使用光片熒光顯微鏡、神經元鈣離子成像等技術,我們甚至可以觀察斑馬魚等透明活體目標的神經元信號活動,當信號傳遞時,可以觀察到熒光在水平切面的亮起、傳遞、熄滅,有如煙花在夜空綻放,非常震撼。
如果你想看神經元,建議還是選擇倒置熒光顯微鏡,既可以用相襯動態觀察活細胞,也可以熒光標記觀察各種想研究的細節,還能加上各種配件做成電生理平臺。人類的感覺、思考和記憶,無一例外都跟神經元有緊密關系,研究神經元是腦科學的一大重點,光片熒光顯微鏡、TIRF全內反射熒光顯微鏡、機器學習等新科技也在這個前沿科學中嶄露頭角,這是個非常有潛力、有意思的課題。
①Volonté YA, Vallese-Maurizi H, Dibo MJ, Ayala-Pe?a VB, Garelli A, Zanetti SR, Turpaud A, Craft CM, Rotstein NP, Politi LE and German OL (2019) A Defective Crosstalk Between Neurons and Müller Glial Cells in the rd1 Retina Impairs the Regenerative Potential of Glial Stem Cells. Front. Cell. Neurosci. 13:334. doi: 10.3389/fncel.2019.00334
免責聲明
本站無法鑒別所上傳圖片、字體或文字內容的版權,如無意中侵犯了哪個權利人的知識產權,請來信或來電告之,本站將立即予以刪除,謝謝。
微信掃描二維碼,點擊右上角 ··· 按鈕
轉發給朋友或分享到朋友圈