微信掃描二維碼,點擊右上角 ··· 按鈕
轉發給朋友或分享到朋友圈
顯微成像·洞察微觀之美
Microscopic imaging, insight into the beauty of micro
生物顯微鏡ML31應用于中藥鑒別
發布時間:2025-09-25
訪問量:72
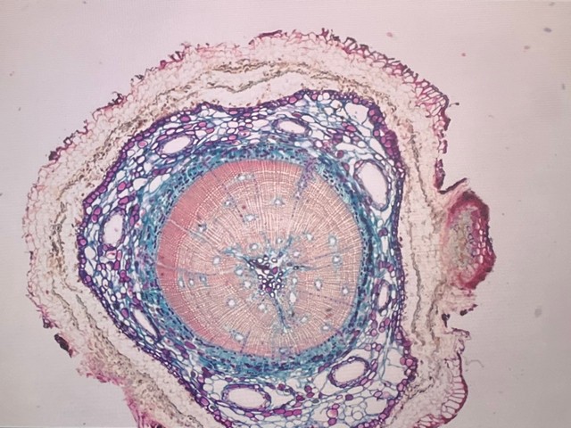
生物顯微鏡ML31應用于中藥鑒別
顯微鑒定是《中華人民共和國藥典》中推薦的中藥粉末鑒別方法之一。在檢測中藥或中藥制劑時,可以使用明美生物顯微像ML31,從而更加迅速準確的對中藥材進行鑒別。

中藥材的真假、質量的好壞、會直接影響臨床應用的效果和患者的生命安全。所以對于中藥材的檢測與鑒別有著十分重要的意義。通過明美生物顯微像ML31,可以觀察中藥材內部的細胞、組織構造及細胞內含物,明確其顯微特征,從而達到鑒別與檢測目的。

明美生物顯微鏡 ML31采用優異的無限遠光學系統,可實現高質量明場觀察,可擴展簡易偏光觀察,提升中藥粉末鑒定效率。高透光平場消色差物鏡,成像清晰無場曲,精密調焦系統,同軸粗微調焦機構,能夠幫助檢測人員快速、準確地進行中藥材檢測。
免責聲明
本站無法鑒別所上傳圖片、字體或文字內容的版權,如無意中侵犯了哪個權利人的知識產權,請來信或來電告之,本站將立即予以刪除,謝謝。
微信掃描二維碼,點擊右上角 ··· 按鈕
轉發給朋友或分享到朋友圈